Исправление прикуса любой сложности с помощью брекетов
- Цифровое исправление прикуса
- 99% положительных отзывов
- Восстановление эстетики и функции

Тихон Леонидович Новиков. Главный врач клиники DoReMi. Врач-ортопед. Гнатолог. Опыт работы более 10 лет!
м. Владыкино, ул. Ботаническая, д. 33В стр. 1
Клиника DoReMi
Получите консультацию ортодонта и сертификат на 3000р. на первый прием
Акция действует только до 15 июня
Доктор проведет осмотр, сканирование зубов, фотопротокол, расскажет вам о вариантах лечения.
Какие проблемы мы можем решить с помощью брекетов?
По-большому счету — совершенно любые проблемы, которые связаны с прикусом или суставом можно решить с помощью брекетов. Более 50% пациентов приходят в DoReMi перелечиваться из других клиник!
Исправление неправильного прикуса.
Какая бы ни была ситуация с Вашим прикусом — элайнеры способны ее исправить. К нам приходят даже когда отказывают в других клиниках
Незаметны и комфортны
Элайнеры практически невидимы для глаз окружающих, чего точно нельзя сказать о брекетах. Носить их также удобно, как контактные линзы. Вставил — и забыл.
Крепче, чем брекеты
В отличии от брекетов, элайнеры обладают невероятной прочностью. Вам не придется ограничивать свой рацион или изменять пищевые привычки!
Лечение прогнозируемо
Благодаря цифровым технологиям мы покажем Вам, как будет изменяться ваша улыбка на протяжении всего лечения с точной датой окончания.
1
2
3
4
Проблемы с ВНЧС: щелканье, хруст и скрип зубами.
2
Асимметрия лица, дефекты речи и прочее.
3
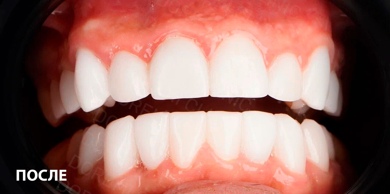
Клинические случаи:
  • Улыбка - прекрасна
  • Избавились от стирания
  • Уложились в 1,5 года
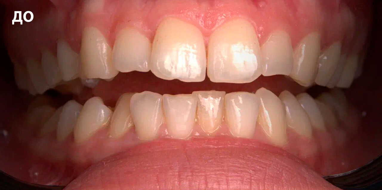
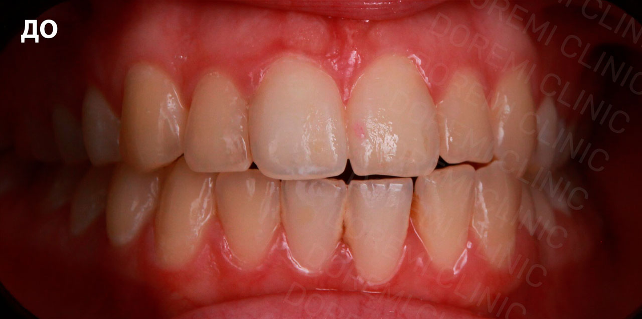
Жалобы пациента:
Пациентке не нравилась скученность зубов, а также искривление наклона улыбки и стирание (вследствие прикуса) бугров клыков
  • Не нравилась улыбка
  • Стирались зубы
  • Хотелось быстро
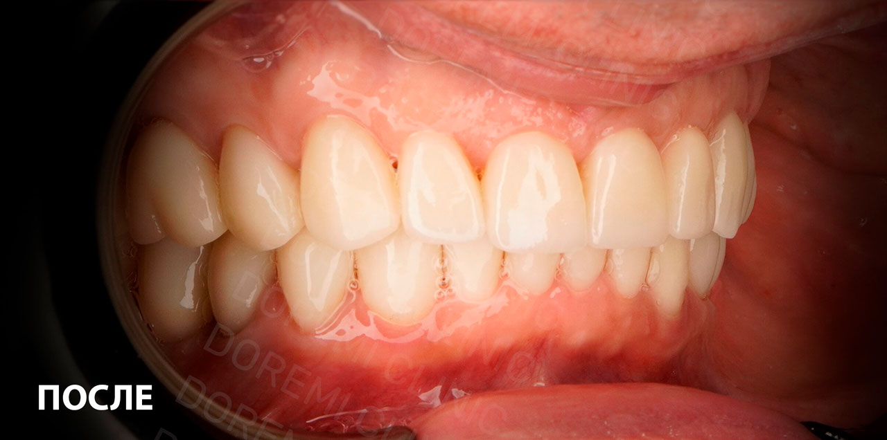
Установили стандартную брекет-систему в тандеме с 2 мини-винтами, которые ускорили процесс выравнивания. Время лечения - 1,5 года
Как решили проблему:
Клинические случаи:
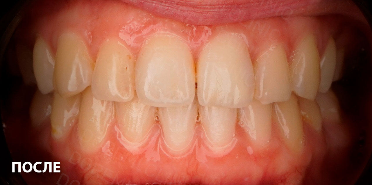
  • Улыбка - идеальная
  • Убрали стираемость
  • Время лечения - 1 год
Жалобы пациента:
Пациент пришел с сильной стираемостью зубов из-за неправильного смыкания (аномалия прикуса II скелетный класс), а вместе с этим с потерей высоты прикуса.
  • Стирались зубы
  • Нужна была эстетика
  • Хотелось виниры
Исправили с помощью брекетов и 2 мини-винтов, которые позволили осуществить лечение максимально быстро - всего за 1 год.
Как решили проблему:
Клинические случаи:
  • Улыбка - прекрасна
  • Успели к свадьбе
  • Лечение менее года
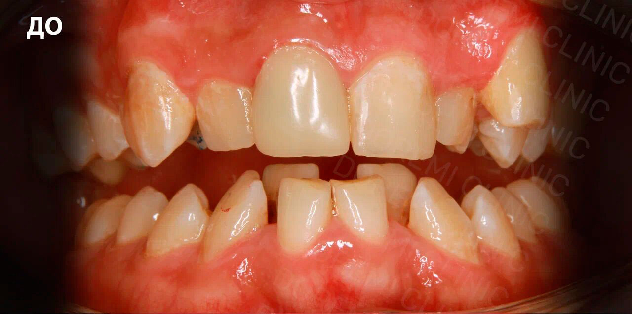
Жалобы пациента:
Выраженная скученность верхних и нижних зубов. Пациент очень хотел ровную здоровую улыбку и невероятно белые зубы в максимально короткие сроки.
  • Не нравилась улыбка
  • Хотелось сделать быстро
  • Скоро свадьба
Используя мини-винты в качестве рычага для брекет-системы - удалось в кратчайшие сроки исправить прикус и установить виниры.
Как решили проблему:
Клинические случаи:
  • Исправили проблему
  • Улучшилась работа
  • Лечение заняло 1,5 года
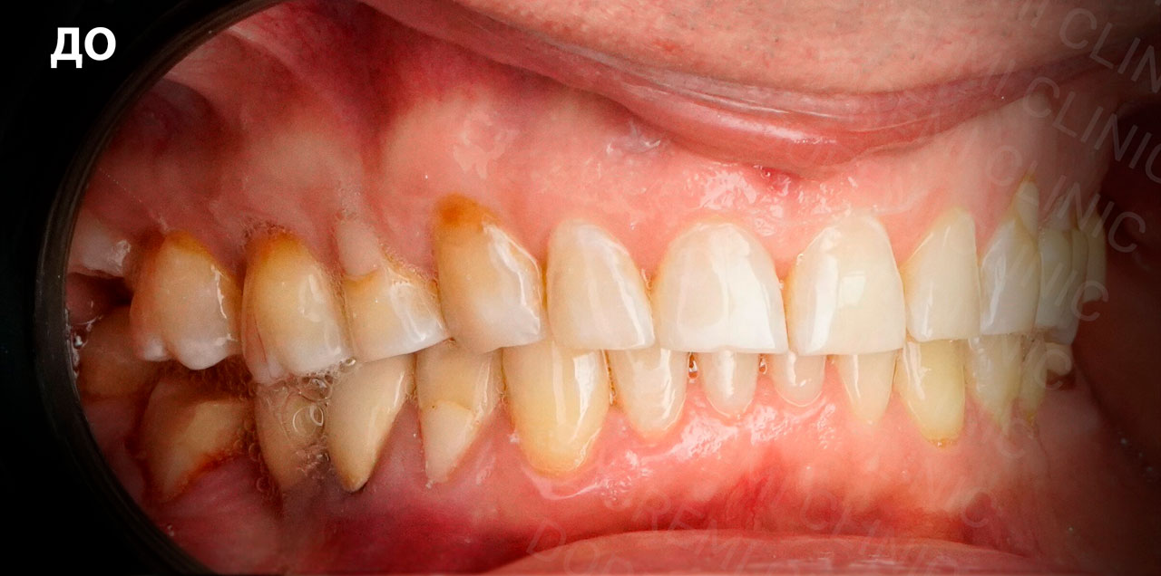
Жалобы пациента:
Пациентке после ортодонтического лечения в другой клинике было сложно сомкнуть губы, из-за сильно завышенного прикуса.
  • Испытывала дискомфорт
  • Улыбка важна для работы
  • Был неудачный опыт
Исправили наклон зубов, а вместе с тем и вид всего профиля. Ушел дискомфорт смыкания губ за короткий срок.
Как решили проблему:
Записаться на консультацию
О DoReMi
99% положительных отзывов от благодарных пациентов, прошедших курс лечения
Посмотреть отзывы!
ТОП-6 причин, почему обращаются именно к нам:
Беремся за любые случаи
1
Гарантируем результат
2
Решаем вопрос комплексно
3
Предоставляем рассрочку
4
Фиксируем цену на все лечение
5
Даже если Вам отказали в лечении в другой клинике — мы сможем Вам помочь! Более 50% наших пациентов приходят к нам с других клиник!
Мы используем самые передовые технологии, благодаря которым мы можем спрогнозировать, как каждый отдельный этап, так и результат всего лечения.
Большинство клиник стремится закрыть только вопрос эстетики, забывая, что зубы должны ещё жевать и кусать. Мы стремимся сделать зубы и здоровыми и красивыми.
Мы понимаем, что основная причина, почему люди откладывают лечение — это деньги. Мы даем рассрочку от клиники, чтобы вы могли платить по факту лечения.
Приходя к нам вы можете быть уверены, что цена не изменится! Никаких скрытых платежей или дополнительных услуг. Точная цена фиксируется ДО НАЧАЛА ЛЕЧЕНИЯ!
Помогаем оформить вычет
6
Для многих тема налогов - непонятна и сложна. Поэтому мы помогаем нашим пациентам оформить налоговый вычет, чтобы лечение у нас было выгодным!
Как проходит лечение?
Тщательная диагностика - залог успеха
  • Мы делаем фотографии и сканы, тщательно анализируем КТ
  • Делаем презентацию с подробным описанием проблем и способов их решения
  • Главный ортодонт записывает видео с подробным объяснением каждого слайда
  • Диагностика занимает всего 7 дней с момента КТ
  • На повторной консультации вы сможете задать любые вопросы доктору!
Фиксация брекетов
  • Мы используем брекеты только от проверенных производителей
  • Иногда мы фиксируем сразу обе челюсти, иногда по очереди с промежутком в месяц
  • Перед фиксацией важно провести профгигиену
  • После фиксации - соблюдать рекомендации доктора
  • Первые 2 месяца ведения после фиксации первых брекетов в подарок
Плановые приёмы
  • Оплата за месяц ведения (как подписка на ровные зубы)
  • Приходить нужно раз в месяц
  • Мы выдаём все, что необходимо для передвижения зубов
  • Доктор дает инструкции, что делать, чтобы ускорить процесс
  • Так же мы проводим фотографирование на каждом приёме, чтобы вы могли видеть, как идет прогресс
Снятие брекетов и установка ретейнера
  • Чтобы сохранить результат лечения необходимо зафиксировать зубы, потому сто иначе язык и щеки сдвинут все на прежнее место
  • Мы ставим ретейнеры и выдаем 2 комплекта специальных капп, чтобы вы могли сохранить результат на долго
  • После снятия вы можете втечение 2х лет приходить к нам в любое время и проходить осмотры или получать новые ретенционные каппы бесплатно
Новиков Тихон Николаевич
Главный врач
Стоматолог-ортопед-терапевт. Основатель и главный врач DoReMi Clinic
Юркевич Эмма Андреевна
Стоматолог-ортодонт. Опыт работы более 3 лет
Лагонот Ксения Дмитриевна
Стоматолог- ортодонт. Опыт работы более 7 лет
Наши врачи:
Получите сертификат на 3000 рублей на первое посещение!
Можете использовать сами, а можете подарить близкому человеку!
Оставьте свой номер телефона для связи и получения сертификата. Подробности по ссылке.
Контактная информация
+7 (495) 182-04-11
г. Москва, ул. Ботаническая, д. 33В, стр. 1